
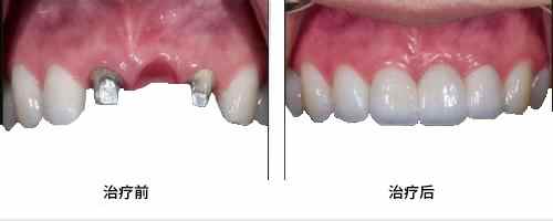
暖春三月,又是一个春暖花开时节。为感恩回馈社会,正夫口腔现推出3月种植公益援助“种牙不贵,百元种牙”关爱缺牙人群公益活动月,为缺牙患者献上一份超值种牙大礼。
一、活动时间
即日起至2018年3月31日
二、活动地点
正夫口腔旗下所有门诊
三、活动主题
种牙不贵 百元种牙
正夫口腔3月种植公益援助
四、公益援助项目
援助一:100元种植
(适合缺失3颗以上牙齿的人群)
优点:实惠,很适合对种牙要求较高的缺牙患者


援助二:种植牙600元抵6000元
(适合缺失1、2颗牙齿的人群)
优点:600抵扣6000元,种牙没压力


援助三:登腾种植牙5980元(含钴铬冠)
(适合缺牙人群,适用范围广)
优点:经济实惠,适合大多数缺牙人群


看牙,选正夫,上市资质更放心!通过网络预约享受更多优惠 立即咨询 >>>
预约方式:
1、拨打服务热线400-6999-661
2、登录官方网站:www.zfck.net进行在线预约 戳这里>>>
3、关注微信号:正夫口腔 我要预约>>>
看牙,选正规口腔机构,深圳正夫口腔于2017年8月荣耀上市新三板!医保定点单位。已通过ISO9001:2008国家质量管理体系认证,并获得“中国口腔十大领军品牌”荣誉。目前在深圳开展近20家正夫口腔连锁齿科,覆盖深圳罗湖、福田、南山、宝安、龙华等多个区域,共200多间诊疗室。主要为客户提供牙齿种植、牙齿正畸、美齿美学修复、牙周治疗、儿童口腔等高品质综合口腔医疗服务。 现有200余名专科医护人员及国内外口腔医师组成的技术医疗团队,服务超过250000余名客户,深受广大市民的欢迎及好评。


.jpg)